Dream Smile Dental Clinic
Adana Building 72-78 Conington Road SE13 7FB

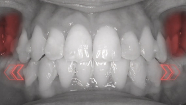
Dream Smile Dental - Invisalign Makes the decision easy

Welcome to Dream Smile Dental Clinic

London’s home for Healthy teeth and a Beautiful smile.

Dream Smile Dental Clinic is built around the power of digital dentistry.

We’ve invested in the latest technology to enhance every part of your treatment.

From digital scanning to precision smile design, every detail is driven by accuracy.

Our goal is simple: give you the best possible care and results, every time.

We believe in tailoring your dental needs to suit you specifically. We offer the latest technology, ultimate comfort, detailed advice, and education to help you make the best choices possible.

Dream Smile Dental - Invisalign Makes the decision easy

Dr. Mohsen Tehranian

Invisalign Diamond Apex Provider | Align Faculty Member | Cosmetic Dentist

  • Over 18 years of Invisalign experience.
  • Completed more than 6,000 Invisalign cases.
  • One of only two dentists in the UK on the Align Global Faculty.
  • International Clinical Speaker for Align Technology since 2012.
  • Presented at over 100 professional events internationally.
  • Leads Invisalign Masterclasses for dentists seeking advanced skills.
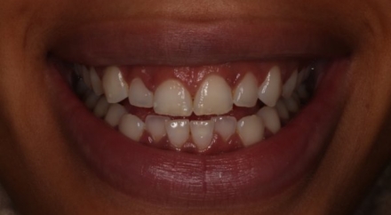
Dream Smile Dental - Dr. Mohsen Tehranian

Over 6000+ cases completed

International clinical speaker for Invisalign

Dream Smile Dental - Home Dream Smile Dental - Home

Every smile is unique. We provide complete dental care to create yours.

Facial & Body Aesthetics

Why settle for a new smile when you can enhance your entire appearance and boost your self-esteem? Why settle for just a new smile when you can transform your entire appearance and elevate your confidence? Embrace the opportunity to look and feel your best!

Dream Smile Dental - Facial & Body Aesthetics Dream Smile Dental - Facial & Body Aesthetics

Patient Videos

Finance Available

Say yes to your Dream Smile

0% interest-free finance available via Tabeo

We are pleased to offer 12 Months 0% interest-free finance options through Tabeo, making it easier for you to manage the cost of your dental treatments. Spread the cost with flexible payment plans and enjoy the benefits of our high-quality dental care without financial strain.

Dream Smile Dental - Finance Available

Special Offers

Don’t miss our Special offers

Amazing offers on Invisalign, Smile makeovers with Composite bonding and Porcelain veneers, teeth Whitening.

Dream Smile Dental - Special Offers

What our patients say

Dream Smile Dental - Patient Reviews Dream Smile Dental - What our patients say

Get Social

Let's connect

☆☆☆☆☆ ELENA PROUSSKAIA NEW SITE LAUNCH - PROMO REEL ☆☆☆☆☆

One of the country’s foremost female cometic and plastic surgeons deserved more than the clunky and out of date website her successful hospital was using for far too long. 

#websitedesign #bespokewebdesign #designideas #webdesign #design #plasticsurgerymarketing #surgeondesign #Surgeonwebsite #clinicwebsite  #beautifuldesign  #privatheealthcare #plasticsurgery
☆☆☆☆☆ HAPPY MOTHERS DAY TO ALL MUMS AROUND THE WORLD THIS SUNDAY ☆☆☆☆☆

#mothersdayspecial❤️ #motheringsunday #mothersday #mothersdaycelebration❤️
WISHING EVERYONE AN AMAZING SAINT PATRICK'S DAY! 

 #stpatricksday #stpatricksday☘️
☆☆☆☆☆WE'RE UNDER STARTERS ORDERS - WETHERBY RACECOURSE☆☆☆☆☆

The Wetherby Racecourse website was expertly designed and developed by Blowmedia to capture the prestige, rich heritage, and thrill of one of the UK’s most celebrated racecourses. The goal was to create a smooth, user-focused digital experience that seamlessly combines traditional racing culture with modern functionality.

We developed a refined and visually engaging design that brings the excitement of race day to life, while ensuring the interface remains professional, accessible, and easy to navigate. High-quality visuals are paired with intuitive site architecture, guiding users effortlessly to core areas such as ticketing, hospitality, and race fixtures.

Engineered for both performance and adaptability, the website empowers the Wetherby Racing team with simple content management tools and robust backend capabilities. Development priorities included speed, security, and scalability—ensuring the site delivers a reliable, high-performing experience for all users.

The finished product is a contemporary, dynamic platform that strengthens Wetherby Racecourse’s digital presence. It drives engagement, supports ticket sales, and reinforces the brand's status as a premier destination for racing enthusiasts.

#websitedesign #bespokewebdesign #designideas #webdesign #horseracecourse #horseracing
This error message is only visible to WordPress admins
There has been a problem with your Instagram Feed.

Subscribe

Get the latest from Dream Smile!

Dream Smile Dental - Newsletter Dream Smile Dental - Newsletter